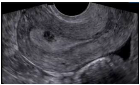
O mioma (leiomioma) uterino é um tumor benigno, muito comum, que pode acometer até 70% das mulheres com 50 anos de idade. Para sistematizar a descrição dos miomas, foi criada a classificação da FIGO (Federação Internacional de Ginecologia e Obstetrícia) juntamente com o grupo MUSA (Morphological Uterus Sonografic Assessment), utilizando estes parâmetros classifique o nódulo abaixo:

Provas
Questão presente nas seguintes provas