Magna Concursos
46572 Ano: 2009
Disciplina: Biologia
Banca: UFRN
Orgão: UFRN

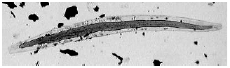
A figura abaixo representa um achado em uma lâmina preparada com sedimento de matéria fecal de um paciente.

Enunciado 3897019-1

Essa forma biológica corresponde a:

 

Provas

Questão presente nas seguintes provas

Técnico de Laboratório - Parasitologia

30 Questões