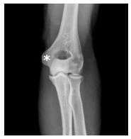
Na radiografia da região do cotovelo apresentada a seguir, a estrutura marcada corresponde:

Provas
Questão presente nas seguintes provas
Técnico de Radiologia
50 Questões
Técnico de Radiologia - Radioterapia
50 Questões
Na radiografia da região do cotovelo apresentada a seguir, a estrutura marcada corresponde:
