Paciente de 68 anos, previamente hígido, sem comorbidades, da entrada no PS trazido pelo SAMU, com história de queda do telhado ha meia hora. No atendimento inicial, na sala de emergência, paciente com PA 80x50 mmHg, FC 112, Glasgow 5. Colocado sob ventilação mecânica, recebendo droga vasoativa em cateter venoso central, coletados exames, foi encaminhado a Tomografia:

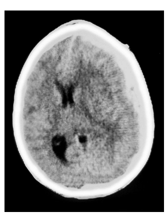
A tomografia evidenciou Hematoma Subdural Agudo, com efeito de massa, compressão ventricular e desvio de linha média.
Contactada equipe da neurocirurgia que, após avaliação especializada, indicou cirurgia de emergência para descompressão. Iniciado tambem, anticonvulsivantes, ainda na sala de emergência. Após cirurgia, paciente foi encaminhado a UTI para cuidados de pós-operatório. Permaneceu estavel por 3 dias, ainda sob ventilação mecânica. Recebeu apenas 24 horas de profilaxia cirúrgica com cefuroxima. No 3º PO, evoluiu com crises convulsivas e febre; submetido a nova TC de crânio que mostrou discreto edema e status pós-operatório. Houve piora da leucocitose no hemograma bem como aumento no PCR Coletado líquor que mostrou: 1540 celulas, predomínio de neutrófilos 80%, glicorraquia 37 e proteinorraquia 176.
Assinale a alternativa CORRETA com relação ao agente etiológico provavel e terapia antimicrobiana empírica: