Magna Concursos
88340 Ano: 2006
Disciplina: Biologia
Banca: CESPE / CEBRASPE
Orgão: INPI
Provas:

Enunciado 3575552-1

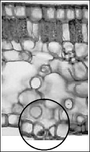
Internet: <atlasveg.ib.usp.br>.

Na micrografia acima, a estrutura destacada

 

Provas

Questão presente nas seguintes provas

Pesquisador do INPI - AP03

50 Questões