Magna Concursos
2607255 Ano: 2022
Disciplina: Medicina
Banca: Consulplan
Orgão: PM-RN

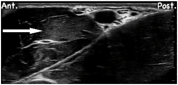
Observe a imagem relacionada ao bloqueio de plexo braquial ao nível axilar:

Enunciado 2607255-1

O músculo destacado pela seta é o:

 

Provas

Questão presente nas seguintes provas

QOSPM - Médico/Anestesiologia

80 Questões