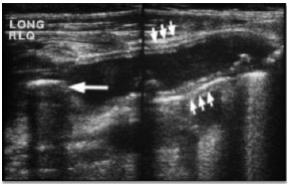
“Paciente, jovem, com queixa de dor abdominal, de início há 2 dias, com localização inespecífica, e agora bem localizada em fossa ilíaca direita, é submetido à ultrassonografia da região, a qual é esclarecedora e apresenta os seguintes achados de imagem.”

Com base no disposto, é correto afirmar que trata-se, provavelmente, de
Provas
Questão presente nas seguintes provas
Médico - Radiologia e Diagnóstico por Imagem
50 Questões