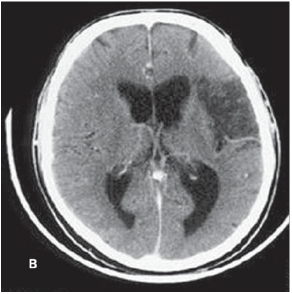
Paciente masculino, 65 anos, apresenta-se ao serviço de urgência/emergência com quadro de início súbito de disartria e perda de força em dimídio direito, com 2 horas de evolução. Ao exame neurológico, evidenciouse as seguintes alterações: hemianopsia homônima direita, força motora em membro superior direito grau 3/5 e em membro inferior direito grau 4+/5, e redução da sensibilidade em dimídio direito, principalmente em membro superior direito. A tomografia de crânio realizada durante a internação está demonstrada a seguir. Diante do quadro exposto, assinale a alternativa correta.
