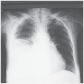
Mulher, 21 anos, apresenta febre, mialgia, cefaleia, dor retro-orbitária e náuseas há 6 dias. Exame físico: bom estado geral, corada e desidratada +/4+; bulhas rítmicas e normofonéticas, sem sopros; FC: 102 bpm; PA: 110 x 60 mmHg; murmúrio vesicular reduzido no terço inferior do hemitórax direito; FR = 26 ipm; abdome: ruídos presentes; dor moderada à palpação profunda em mesogástrio, sem visceromegalias; presença de edema +/4+, depressível em membros inferiores; presença de petéquias em ambas as pernas. Exames complementares: Hb = 13,9 g/dL; Ht = 42%; leucócitos = 2 900/mm3 (segmentados: 34%; linfócitos: 61%); plaquetas: 18 000/mm3; AST = 122 (VR < 32 U/L); ALT = 62 (VR < 31 U/L); pesquisa do antígeno NS1 para dengue negativo. Ultrassonografia de abdome: ascite de moderado volume. A radiografia de tórax encontra-se ilustrada a seguir.

Assinale a alternativa que apresenta a conduta mais adequada.