Considerem-se a descrição a seguir e a imagem.
RM: ressonância magnética / TC: tomografia
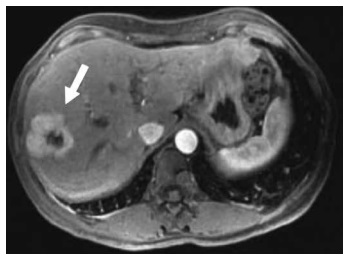
A lesão é definida como nódulo composto de hepatócitos de aparência normal e que ocorre em fígado com aspecto histológico normal. Ocorre predominantemente no sexo feminino (8:1) e em pacientes jovens. O tumor é geralmente assintomático e, nesses casos, não requer tratamento. É comumente um achado incidental em exames de imagem. Na US, possui um padrão inespecífico e é mal visualizada. É caracterizada com grande eficácia pela TC e pela RM, sendo possível a identificação da cicatriz central, que se apresenta com maior sinal que o restante da lesão. Tanto na RM como na TC quando essas características são presentes, a especificidade diagnóstica atinge 98%.
Assinale a alternativa que apresenta com qual lesão hepática benigna as características descritas e a imagem são compatíveis.
RM: ressonância magnética / TC: tomografia
A lesão é definida como nódulo composto de hepatócitos de aparência normal e que ocorre em fígado com aspecto histológico normal. Ocorre predominantemente no sexo feminino (8:1) e em pacientes jovens. O tumor é geralmente assintomático e, nesses casos, não requer tratamento. É comumente um achado incidental em exames de imagem. Na US, possui um padrão inespecífico e é mal visualizada. É caracterizada com grande eficácia pela TC e pela RM, sendo possível a identificação da cicatriz central, que se apresenta com maior sinal que o restante da lesão. Tanto na RM como na TC quando essas características são presentes, a especificidade diagnóstica atinge 98%.
Assinale a alternativa que apresenta com qual lesão hepática benigna as características descritas e a imagem são compatíveis.
Provas
Questão presente nas seguintes provas