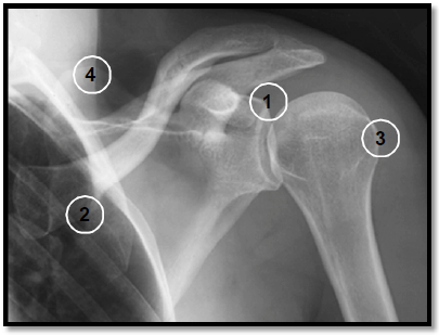
A numeração da imagem radiográfica representa, em ordem crescente, as seguintes estruturas anatômicas:

Provas
Questão presente nas seguintes provas
A numeração da imagem radiográfica representa, em ordem crescente, as seguintes estruturas anatômicas:
