Magna Concursos
2158958 Ano: 2021
Disciplina: Medicina
Banca: VUNESP
Orgão: PB Saúde

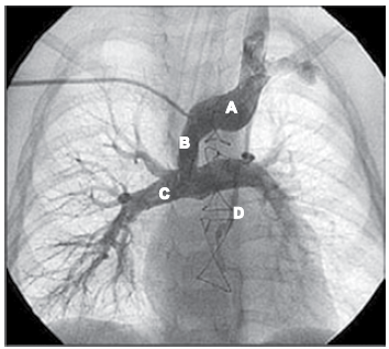
Observe a figura.

Enunciado 2971781-1

Essa imagem diz respeito ao seguinte procedimento cirúrgico:

 

Provas

Questão presente nas seguintes provas

Médico - Cardiologia Pediátrica

50 Questões