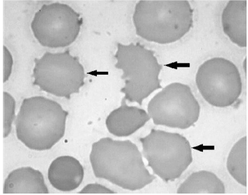
As alterações morfológicas encontradas no esfregaço sanguíneo são de extrema importância pois podem ser determinantes no diagnóstico clínico do paciente.
Na figura a seguir, é apresentada um campo do esfregaço sanguíneo com uma alteração presente nos eritrócitos.

Atlas de Hematologia da UFG. Disponível em: <https://hematologia.farmacia.ufg.br>. Acesso em: 08 mar. 2021.
Considerando essas informações, a alteração apresentada nos eritrócitos (setas pretas) deve ser classificada como: