Magna Concursos
2200302 Ano: 2022
Disciplina: Medicina
Banca: DIRENS Aeronáutica
Orgão: CIAAR
Provas:

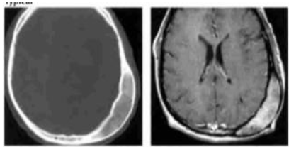
Analise as imagens abaixo.

Enunciado 3327102-1

Fonte: OSBORN, 2004.

As imagens acima são típicas de:

 

Provas

Questão presente nas seguintes provas

CAMAR - Neurocirurgia

60 Questões