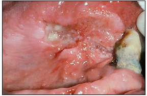
“Paciente idoso, fumante, chegou ao consultório odontológico reclamando de uma ferida na face ventral da língua. Não sabia informar ao certo quando surgiu, mas relatou que percebeu há dois meses.” Analise a imagem relacionada ao caso exposto.

Qual é o diagnóstico?