Mulher, 64 anos de idade, se queixa de dor abdominal difusa de forte intensidade há 24 horas, acompanhada de febre e diarreia sem sangue. Nega sintomas urinários. Antecedente de internação prévia há 1 mês devido a pneumonia. Refere tabagismo. Tem hipertensão arterial sistêmica e diabete melito, controlados com medicamentos.
Ao exame físico:
Regular estado geral, FC:110 bcp, FR: 16, PA: 100x70 mmHg
Ausculta torácica sem alterações.
Abdome distendido, doloroso com sinais de irritação peritoneal difusamente.
Exames bioquímicos: Hb: 11,3 g/dL; Leuco: 19,57 mil/mm3; PCR: 60mg/dL; Creat: 2,19 mg/dL; Ureia:141 mg/dl; Lactato: 28 mg/dL;
Gasometria sem outras alterações
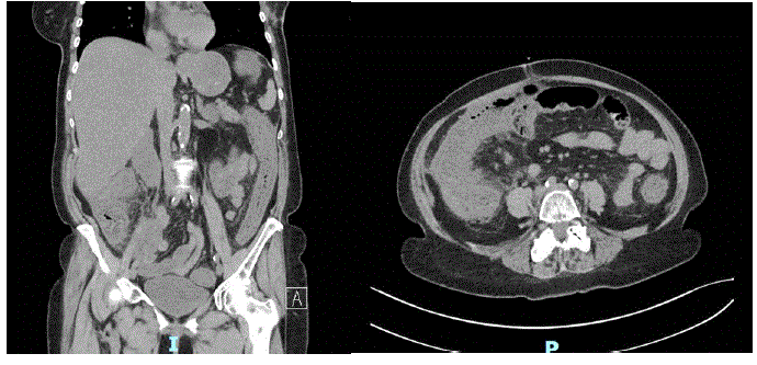
Tomografia de abdome:

Qual é a principal hipótese diagnóstica?