Em determinado laboratório, foram entregues diversos materiais para citologia, numerados e identificados como se segue:
I secreção nasal de paciente, com solicitação para citologia pelo método de Hansel-Shimizu;
II fragmento de tecido hepático obtido por biópsia;
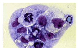
III líquido cefalorraquidiano (LCR) de paciente com suspeita de tuberculose;
IV biópsia de tumor subcutâneo de paciente soropositivo para HIV.
Considerando essa situação, julgue os seguintes itens.
Se for visualizada a imagem abaixo durante a análise do material III, pode-se afirmar seguramente que se trata de tuberculose.

Provas
Questão presente nas seguintes provas