Magna Concursos
665280 Ano: 2016
Disciplina: Radiologia
Banca: AOCP
Orgão: EBSERH
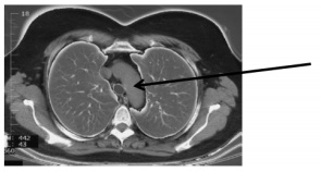
Qual é o ponto assinalado pela seta na imagem de tomografia a seguir?
enunciado 665280-1
 

Provas

Questão presente nas seguintes provas

Técnico de Radiologia - Radioterapia

50 Questões