Paciente 45 anos, com abaulamento em região torácica
anterior há 2 anos. Exame físico: lesão endurecida, pouco móvel, pouco dolorosa, em região anterior de hemitórax direito.
Tomografia de tórax a seguir:

(Arquivo pessoal; imagem usada com autorização)
Biópsia demonstra: hipercelularidade, condrócitos com núcleos volumosos e as vezes binucleados, polimorfismo, atipias, matriz celular mixoide, invasão e destruição de trabéculas ósseas adjacentes.
O diagnóstico do paciente é de
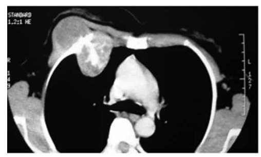
Tomografia de tórax a seguir:

(Arquivo pessoal; imagem usada com autorização)
Biópsia demonstra: hipercelularidade, condrócitos com núcleos volumosos e as vezes binucleados, polimorfismo, atipias, matriz celular mixoide, invasão e destruição de trabéculas ósseas adjacentes.
O diagnóstico do paciente é de