Magna Concursos
1942988 Ano: 2020
Disciplina: Medicina
Banca: FUNDATEC
Orgão: GHC

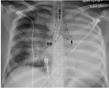
Qual o diagnóstico da radiografia de tórax ilustrada abaixo?

Enunciado 3288318-1

 

Provas

Questão presente nas seguintes provas

Médico - Medicina Intensiva

40 Questões