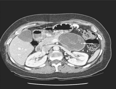
Mulher de 39 anos procurou atendimento por dor abdominal vaga, de fraca intensidade, há 4 meses. No exame físico, detectou-se uma massa abdominal de limites imprecisos e pouco dolorosa. Foi solicitada tomografia abdominal (imagem demonstrada). O exame histológico do material colhido por punção aspirativa com agulha fina revelou níveis baixos de amilase, presença de células ricas em mucina e estroma similar ao do ovário. O diagnóstico da paciente é:

(TOWNSEND JR., C. M.; BEAUCHAMP, R.D.; B. EVERS, M. AND MATTOX, K.L. SABISTON - Tratado de Cirurgia. 20ª Edição, Ed. Elsevier, 2019, Cap. 55, pg. 2395)