Uma criança de 11 anos deu entrada no pronto-socorro com cefaleia e dor torácica associadas à temperatura de 38,5 ºC.
Clinicamente, apresentava uma ausculta com diminuição do murmúrio vesicular na base esquerda, tempo de enchimento
capilar de 4 segundos e pressão arterial de 90 x 55. Foi puncionado acesso venoso, foram iniciadas expansões volêmicas
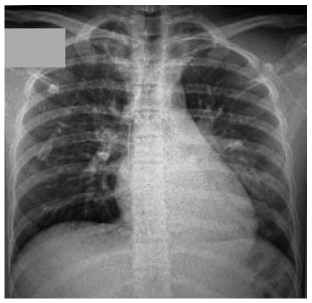
de 20 mL/kg por duas vezes no pronto-socorro, e a criança foi encaminhada para a UTI. Foram solicitados exames laboratoriais e raio-X de tórax (figura a seguir). Na entrada na UTI, constatou-se PA igual a 66 x 40.
Hemograma: Hb: 14,3; Ht: 42,5; leucócitos: 9.500 (3 metamielócitos; 7 bastonetes; 73 segmentados; 1 eosinófilo; 0 basófilo; 14 linfócitos; 2 monócitos); plaquetas: 200.000; PCR: 13,9 mg/dL (normal: abaixo de 0,5 mg/dL); TGO: 15; TGP: 15; CPK: 64; D-dímero: 226; troponina T de alta sensibilidade: 7,27 ng/L (normal: inferior a 14 ng/L).

(Arquivo pessoal; imagem usada com autorização)
Com relação à hipótese diagnóstica, à conduta realizada no pronto-socorro (PS) e à conduta a ser realizada na UTI, assinale a alternativa correta.
Hemograma: Hb: 14,3; Ht: 42,5; leucócitos: 9.500 (3 metamielócitos; 7 bastonetes; 73 segmentados; 1 eosinófilo; 0 basófilo; 14 linfócitos; 2 monócitos); plaquetas: 200.000; PCR: 13,9 mg/dL (normal: abaixo de 0,5 mg/dL); TGO: 15; TGP: 15; CPK: 64; D-dímero: 226; troponina T de alta sensibilidade: 7,27 ng/L (normal: inferior a 14 ng/L).

(Arquivo pessoal; imagem usada com autorização)
Com relação à hipótese diagnóstica, à conduta realizada no pronto-socorro (PS) e à conduta a ser realizada na UTI, assinale a alternativa correta.