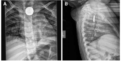
Paciente de 2 anos de idade é levada pela mãe ao hospital com relato de aumento de salivação subitamente, não conseguindo deglutir. A mãe relata que quadro iniciou há, aproximadamente, 1 hora após deixar a paciente sozinha na sala por alguns minutos, afirmando que antes a paciente estava bem. Foi realizada uma radiografia de tórax, obtendo-se a seguinte imagem.

Com base nesse caso clínico, assinale a alternativa que apresenta o corpo estranho ingerido pela paciente e a conduta a ser adotada nessa situação.