Magna Concursos
1129083 Ano: 2019
Disciplina: Medicina
Banca: UFRN
Orgão: Pref. Parnamirim-RN
Provas:
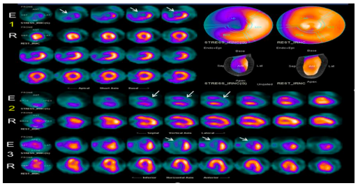
Homem de 61 anos, dislipidêmico, tabagista e hipertenso, apresenta quadro de angina aos moderados esforços, de início há um mês. Está em uso de sinvastatina 40 mg, Enalapril 10 mg 12/12h e Atenolol 50 mg 1x dia. Ao exame, PA 130 x 80 mmHg, FC 60 bpm, restante sem alterações. Realizou a cintilografia de perfusão miocárdica com estresse físico, sendo interrompida no início do segundo estágio de Bruce, por angina limitante. A imagem da cintilografia encontra-se abaixo.
enunciado 1129083-1
Em relação a esse caso clínico,
 

Provas

Questão presente nas seguintes provas

Médico - Cardiologia

35 Questões