Caso clínico para a questão.
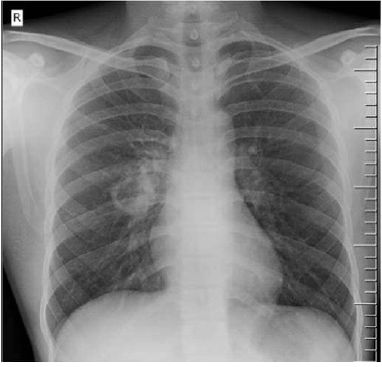
Paciente do sexo feminino, de 39 anos de idade, natural e procedente de São Paulo – SP, sem comorbidades, procura atendimento no Centro de Saúde Escola por quadro de perda ponderal de 8 kg em 4 meses, tosse produtiva, febre baixa no início da noite, fadiga e nodulações cervicais. Ao exame, revela-se emagrecida, descorada 2+/4+, afebril, com nodulações endurecidas em cadeias cervicais anterior e posterior, com ausculta cardíaca sem alterações e estertores crepitantes em ápice direito. Realizou a radiografia de tórax apresentada a seguir.

Com base nesse caso clínico, assinale, entre as alternativas a seguir, aquela que apresenta a principal hipótese diagnóstica do quadro pulmonar e seu exame confirmatório, respectivamente.