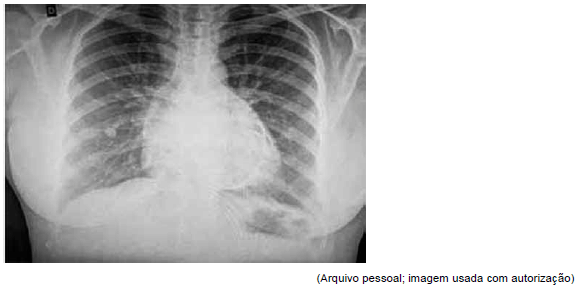
Mulher, 48 anos, procura o pronto atendimento com queixa de dor torácica retroesternal há 1 semana, do tipo pontada, sem irradiação e de caráter progressivo e contínuo, evoluindo com dispneia aos esforços há 2 dias. Não refere antecedentes relevantes e não faz uso de medicações contínuas. Foi realizada a radiografia de tórax, ilustrada a seguir:

Na investigação dessa paciente, a alteração ecocardiográfica que se espera encontrar é: