Magna Concursos
Questões
Planos
Entrar
Entrar
Criar Conta
Respondida
3773810
Ano:
2024
Disciplina:
Medicina
Banca:
IADES
Orgão:
Pref. São Paulo-SP
Provas:
Residência em Medicina - Medicina Fetal
Provas
×
Ginecologia e Obstetrícia
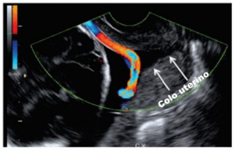
Caso clínico para responder à questão.
Uma paciente com 24 semanas de gestação realizou ultrassonografia obstétrica com dopplervelocimetria, da qual foi obtida a imagem a seguir.
Assinale a alternativa correspondente a um fator de risco para o diagnóstico da paciente que deu origem à imagem apresentada.
A
Fertilização
in vitro
B
Diabetes
mellitus
gestacional
C
Gestação única
D
Pré-eclâmpsia
E
Placenta posterior
Resolver
Comentários
0
×
Cadernos
×
Flashcards
×
Estatísticas
×
Reportar um erro
×
Provas
Questão presente nas seguintes provas
Residência em Medicina - Medicina Fetal
50 Questões
Resolver Prova
Publicar
Responder
Qual o problema da questão?
Selecione uma opção
Questão Desatualizada
Questão Repetida
Gabarito Errado
Outros Motivos
Mensagem
Enviar
Acessar
Criar Conta
Acesse sua Conta
Google
Facebook
Esqueci minha senha
Acessar
Ainda não tem conta?
Crie uma
!
Crie uma Conta
Criar Conta
Olá, para continuar, precisamos criar uma conta!
É
rápido
e
grátis
.
Google
Facebook
Concordo com os
Termos de Uso
Criar
Já tem uma conta?
Acesse aqui