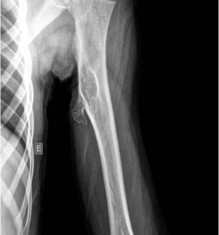
Criança de 5 anos, feminina, apresenta no exame físico área de entumescimento de partes moles no aspecto medial do terço proximal do úmero esquerdo com sinais de estar fixa aos planos profundos e livre em relação à pele e ao subcutâneo, sem sinais flogísticos e quase indolor.
Segue-se imagens de US e Rx do segmento corpóreo.


O quadro clínico e imagenológico sugere
Provas
Questão presente nas seguintes provas
Médico - Radiologia e Diagnóstico por Imagem
50 Questões