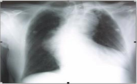
Paciente de 70 anos, masculino, história de hipertensão de longa data. Chega na emergência com dor retroesternal de início súbito, de forte intensidade, iniciada há 2 horas. Apresentava-se pálido, ansioso, e a PA era 100/60 mmHg. O eletrocardiograma e o RX de tórax estão representados abaixo.


A melhor abordagem, entre as seguintes, nesse caso é