Um paciente de 75 anos com histórico de hipertensão e
fibrilação atrial em uso de rivaroxabana (20 mg/dia) apresenta disartria súbita. A ecocardiografia transtorácica revelou dilatação moderada do átrio esquerdo e hipertrofia
ventricular esquerda, mas sem trombos intracardíacos.
O monitoramento contínuo não detectou fibrilação atrial
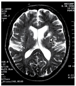
adicional. A avaliação inicial com ressonância magnética
encontra-se a seguir.
(https://www.google.com/url?sa=i&url=https%3A%2F%2Fanatpat.unicamp.
br%2Fradlacunaris1.html&psig=AOvVaw1FPStQZC4RupNqKV2_4rG7&u
st=1734781327580000&source=images&cd=vfe&opi=89978449&ved=0CBQ
QjRxqFwoTCNDSqJ-itooDFQAAAAAdAAAAABAE)
Com base no quadro clínico e nas diretrizes atuais, o próximo passo mais apropriado no manejo do paciente é:
(https://www.google.com/url?sa=i&url=https%3A%2F%2Fanatpat.unicamp.
br%2Fradlacunaris1.html&psig=AOvVaw1FPStQZC4RupNqKV2_4rG7&u
st=1734781327580000&source=images&cd=vfe&opi=89978449&ved=0CBQ
QjRxqFwoTCNDSqJ-itooDFQAAAAAdAAAAABAE)
Com base no quadro clínico e nas diretrizes atuais, o próximo passo mais apropriado no manejo do paciente é: