Magna Concursos
578969 Ano: 2016
Disciplina: Medicina
Banca: CESGRANRIO
Orgão: UNIRIO
Provas:
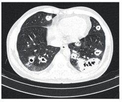
Mulher de 45 anos iniciou quadro de hemoptise e emagrecimento há 1 mês. Trouxe TC de tórax, sendo sua imagem mostrada abaixo. Pesquisa realizada de BAAR em 3 escarros espontâneos foi negativa. A TC de seios da face revelou sinusite. O EAS apresentava hematúria e proteinúria de 3+, confirmada em urina de 24 horas (1g de proteinúria). O hemograma era alterado apenas com anemia normocítica e normocrômica; a creatinina sérica era de 2,0 mg/dL, e a biópsia renal revelou glomerulonefrite pauci-imune. A biópsia de seios da face constatou presença de granuloma com necrose.
enunciado 578969-1 O diagnóstico dessa doença e o anticorpo que pode estar presente são, respectivamente,
 

Provas

Questão presente nas seguintes provas

Médico - Clínica Geral

70 Questões