Magna Concursos
3620592 Ano: 2025
Disciplina: Radiologia
Banca: SARAH
Orgão: Rede SARAH
Provas:

Enunciado 4245398-1

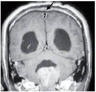
A seta na ressonância magnética acima está indicando a seguinte estrutura:

 

Provas

Questão presente nas seguintes provas

Biomédico

60 Questões