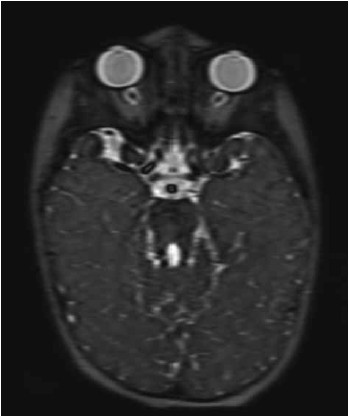
Paciente do sexo feminino, 2 anos, com atraso no desenvolvimento, ataxia e apraxia oculomotora. Realizou a ressonância magnética de crânio mostrada a seguir.

Nesse caso, o diagnóstico é:
Paciente do sexo feminino, 2 anos, com atraso no desenvolvimento, ataxia e apraxia oculomotora. Realizou a ressonância magnética de crânio mostrada a seguir.

Nesse caso, o diagnóstico é: