C.V.R.S., 36 anos, G VII P VI (6N) A0, IG cr: 6 semanas,deu entrada no PSGO com sangramento vaginal há cerca de 1 semana. Sem ultrassom prévio. Ao exame físico: especular: colo uterino sem lesões, mínima quantidade de sangue vermelho escuro em fórnice posterior. TV (toque vaginal) bimanual: colo impérvio, grosso, posterior. Ausência de dor à mobilização do colo uterino. Abdome: DB negativo, dor leve à palpação profunda de hipogástrio. Submetida à ultrassonografia transvaginal (imagens a seguir: figuras 1, 2, 3, 4) e beta HCG quantitativo: 9 000 UI/mL. Resultado de beta HCG 24h antes: 7 000 UI/mL.

Figura 1 (útero; EE 5 mm)

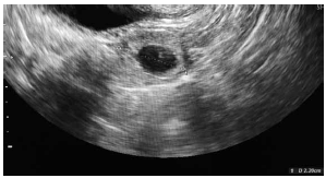
Figura 2 (região anexial E; ovário E sem alterações)

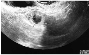
Figura 3 (zoom de região anexial E; sem visualização de embrião)

Figura 4 (zoom de região anexial E; sem visualização de embrião)
O diagnóstico e a conduta adequada são: