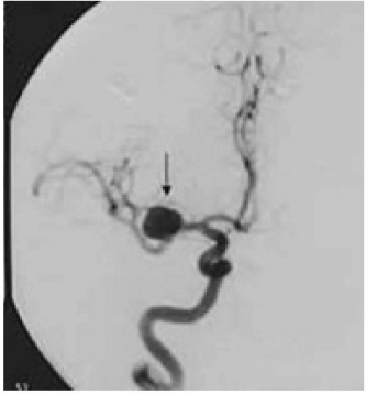
Exames de angiografia são utilizados frequentemente para a detecção de alterações vasculares. Os aneurimas são alterações vasculares importantes, causados por fraqueza da parede vascular.

Observando o exame de angiografia por ressonância magnética acima, podemos concluir que a seta indica um aneurisma:
Provas
Questão presente nas seguintes provas
Médico - Radiologia e Diagnóstico por Imagem
50 Questões