Magna Concursos
1001921 Ano: 2016
Disciplina: Biologia
Banca: AOCP
Orgão: EBSERH
Provas:

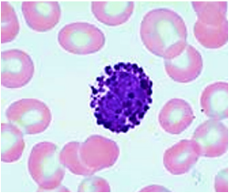
A amostra de sangue a seguir apresenta um leucócito do tipo

Enunciado 1001921-1

 

Provas

Questão presente nas seguintes provas

Biólogo

50 Questões