Magna Concursos
2378745 Ano: 2008
Disciplina: Medicina
Banca: VUNESP
Orgão: UFSCAR
Provas:

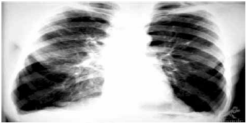
O rX é mais compatível com quadro de

Enunciado 2949353-1

 

Provas

Questão presente nas seguintes provas

Médico - Clínica Geral

60 Questões