Magna Concursos
2317038 Ano: 2021
Disciplina: Medicina
Banca: FGV
Orgão: Pref. Manaus-AM

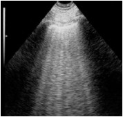
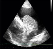
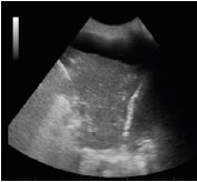
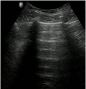
Paciente de 70 anos do sexo masculino dá entrada no Pronto-Socorro após iniciar quadro de dispneia em churrasco, há cerca de 1 hora.

Relata ser hipertenso e ter insuficiência cardíaca. Ao exame clínico, dispneico, FR 30, SatO2 77% em ar ambiente, FC 110 e PA 190x120, com ausculta pulmonar com estertores finos até ápices.

Assinale a opção que apresenta a imagem de ultrassonografia pulmonar compatível com a descrição do quadro acima.

 

Provas

Questão presente nas seguintes provas

Médico - Medicina de Urgência

70 Questões