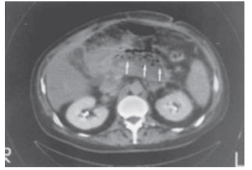
Paciente internado no CTI com pancreatite aguda apresenta piora do quadro e necessita de instalação de aminas vasopressoras. Solicitada uma tomografia abdominal do paciente, a imagem é a seguinte:
A conduta a ser seguida é:
modificar antibioticoterapia e aguardar.
fazer CPRE diagnóstica.
fazer drenagem cirúrgica ou radiológica.
executar pancreatectomia.
fazer uma cintigrafia das vias biliares.
Olá, para continuar, precisamos criar uma conta! É rápido e grátis.