Magna Concursos
2125946 Ano: 2021
Disciplina: Medicina
Banca: AOCP
Orgão: Pref. João Pessoa-PB
Provas:
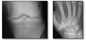
Paciente feminina, 68 anos, vai à consulta devido à queixa de dor e edema em punho esquerdo, de início há 2 dias. Relata episódio prévio semelhante há 8 meses em joelho direito, que durou 2 semanas, sem melhora com uso de anti-inflamatórios e com resolução espontânea. Refere como comorbidades diabetes insulinodependente e hipotireoidismo. A paciente apresenta ao médico duas radiografias realizadas em UBS, as quais são evidenciadas a seguir. Qual é o provável diagnóstico?
Enunciado 2125946-1
 

Provas

Questão presente nas seguintes provas

Médico - Reumatologia

60 Questões