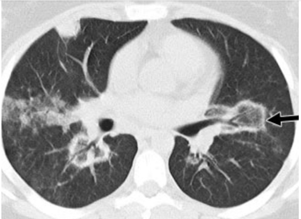
Na imagem de tomografia computadorizada (sem contraste venoso) abaixo, a seta preta aponta para uma área arredondada de opacidade em vidro fosco central circundada por um anel de consolidação do parênquima pulmonar.

Nas alternativas abaixo estão o nome do sinal (seta preta) segundo a “Fleischner Society” e alguns dos principais diagnósticos diferenciais. Assinale a alternativa correta.