Magna Concursos
2958818 Ano: 2023
Disciplina: Medicina
Banca: VUNESP
Orgão: EsFCEx

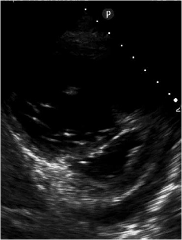
Paciente se apresenta no setor de emergência de hospital com dispneia em repouso. Ao realizar ecocardiografia direcionada, é encontrada a imagem a seguir, a qual sugere

Enunciado 3281799-1

(Arquivo pessoal; imagem usada com autorização)

 

Provas

Questão presente nas seguintes provas