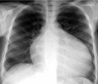
Homem de 59 anos de idade apresenta dispneia há cerca de 1 ano, inicialmente, aos grandes esforços, evoluindo para moderados e pequenos esforços. Exame físico: PA: 112 x 88 mmHg, FC: 112 bpm e FR: 16 ipm; ausculta pulmonar com crepitações em 1/3 de ambos os pulmões. radiografia realizada é mostrada a seguir.

Ao exame físico, a alteração que, mais provavelmente, deve ser encontrada é