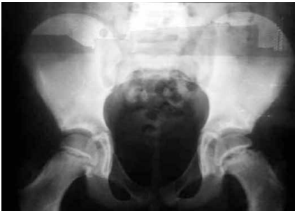
Um adolescente, 12 anos de idade, relatou sentir
dor no quadril esquerdo há 3 meses, com piora progressiva.
Exame físico com rotação externa do quadril esquerdo
em decúbito dorsal, teste de mobilidade com limitação
da rotação interna. Sinal de Trendelenburg ausente.
IMC zcore +2.8. Realizado raio X de quadril.
Com base nessa situação hipotética, assinale a alternativa que apresenta a hipótese diagnóstica adequada.
Com base nessa situação hipotética, assinale a alternativa que apresenta a hipótese diagnóstica adequada.
Provas
Questão presente nas seguintes provas
Residência em Medicina - Dor
50 Questões
Residência em Medicina - Neonatologia
50 Questões
Residência em Medicina - Oncologia Pediátrica
50 Questões