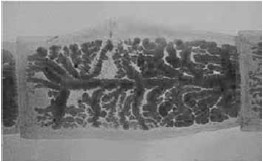
A fotomicroscopia ilustra uma proglote de Taenia solium.

(In: https://repositorio.bc.ufg.br/tede/bitstream/tde/1805/1/DelsonSilva.pdf)
As proglotes são estruturas corpóreas que participam do ciclo biológico do verme ao
A fotomicroscopia ilustra uma proglote de Taenia solium.

(In: https://repositorio.bc.ufg.br/tede/bitstream/tde/1805/1/DelsonSilva.pdf)
As proglotes são estruturas corpóreas que participam do ciclo biológico do verme ao