Acerca da fisiopatologia, da epidemiologia, do diagnóstico e da terapêutica dos problemas que afetam o recém-nascido de alto risco, julgue os itens de 51 a 63.
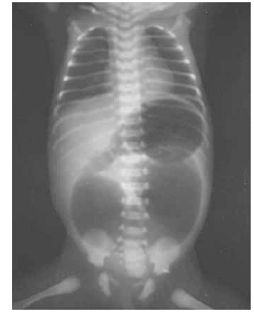
Considere que um neonato de 24 horas de vida apresenta vômitos biliosos. Considere ainda que a radiografia simples do tórax e abdome desse paciente tem o aspecto mostrado abaixo. Nesse caso, o diagnóstico mais provável é atresia duodenal.
