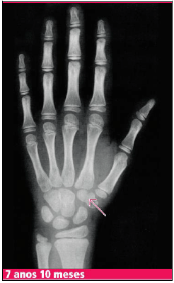
Paciente, sexo feminino, 5 anos e 3 meses, comparece à consulta por aparecimento de broto mamário. Mãe percebeu que nos últimos três meses houve crescimento de mamas. Refere que na escola é a criança mais alta da turma. Foi realizado Raio X de mãos e punhos para correlação da idade óssea com idade cronológica, com o seguinte resultado:

Qual o marco anatômico indicado para a identificação da idade óssea apresentada?