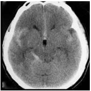
Homem, 33 anos, atleta, apresentando mal estar após cefaléia súbita intensa (escore 8/10) durante prática de salto com vara. Foi trazido ao pronto socorro por sua equipe, já recuperado do mal estar, porém com desorientação temporo-espacial e leve rigidez de nuca. Negavam trauma cranioencefálico. Os exames laboratoriais não demonstraram nenhuma alteração. Submetido a tomografia de crânio que demonstra hemorragia subaracnóidea (HSA) (figura 2).

Figura 2 Tomografia de crânio
Diante do exposto, assinale a alternativa que apresenta a classificação clínica e radiológica desse paciente.