Magna Concursos
505656 Ano: 2018
Disciplina: Medicina
Banca: VUNESP
Orgão: Pref. Serrana-SP
Provas:
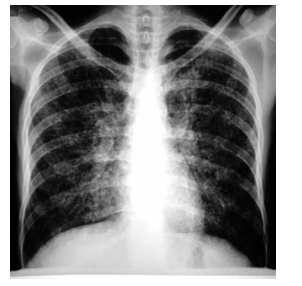
Paciente do sexo masculino, 44 anos de idade, apresenta quadro progressivo de febre vespertina, falta de ar, tosse não produtiva e desconforto torácico há 1 semana. Nega uso de medicamentos ou patologias prévias, mas relata que há 3-4 meses vem se sentindo mal, perde quase 10 kg de peso no período. Refere relações sexuais não protegidas frequentemente. Exame físico: PA: 105 x 65 mmHg, FC: 122 bpm, FR: 26 ipm, SatO2 : 79%, temperatura: 38,9 ºC; lesões orais esbranquiçadas sugestivas de candidíase. Radiografia de tórax é mostrada a seguir. Exames séricos: teste rápido para HIV: positivo; hemoglobina: 12,3 g/dL, leucócitos: 4560/mm3 e plaquetas: 165000/mm3 ; desidrogenase lática: 2740 U/L; creatinina: 0,9 mg/dL; função hepática: normal. Gasometria arterial: PaO2 : 53 mmHg.
enunciado 505656-1

O tratamento inicial recomendado é
 

Provas

Questão presente nas seguintes provas

Médico - Clínica Geral

60 Questões