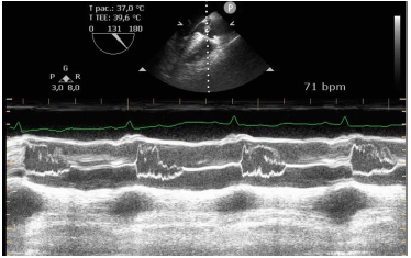
Identifique a condição patológica evidenciada na figura a seguir.

Provas
Questão presente nas seguintes provas
Oficial Médico - Cardiologia/Ecocardiografia
80 Questões
Identifique a condição patológica evidenciada na figura a seguir.
